同仁医线系列④
远处,一辆救护车疾驰而来,警笛长鸣,如一道利剑光影搅乱了正午昏昏欲睡的街头。当大街上的人们在悠闲逛街的时候,救护车里躺着的患者小罗,却已经晕厥过2次,而此行的目的地正是上海市同仁医院急诊室,这又会是一个怎样惊心动魄的故事呢......

元凶是它!但原因没那么简单......
2天前,年仅36岁的小罗感到下肢麻木无力,像灌了铅一样,仔细一看,左腿仿佛注了水的肉,胀得锃亮。
再拖拖吧,忙于工作的小罗没有及时就医,直到当天两次晕倒,人事不省的她才被120火速送到了上海市同仁医院。一番检查结束,结果让人不寒而栗,死神竟与小罗擦身而过。究竟发生了什么?
原来,检查后发现小罗的凝血指标显著异常,急诊肺动脉造影(CTA)显示肺动脉多发栓塞,同时,下肢血管超声可见左下肢深静脉血栓形成。

谜底揭晓,原来这肺动脉栓塞和左下肢深静脉血栓正是此次让小罗险些送命的元凶。
肺栓塞是仅次于心肌梗死和脑卒中最常见的急性心肺血管疾病,如果没有得到积极有效治疗,死亡率可以达到30%。

幸好,同仁医院呼吸与危重症医学科金晓燕主任是治疗这类肺动脉栓塞患者的高手,在她带领的团队精心治疗下,小罗的病情慢慢得到了控制,暂时脱离了生命危险。
凶险的肺动脉栓塞,为什么会盯上年轻的她?
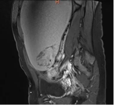
住院后进一步的检查结果令人瞠目。盆腔MRI发现了娇小瘦弱的她肚子里竟藏着一个30多公分的大包块,霸占了几乎整个盆腹腔,盆腔血管里也有血栓形成。

至此,拨开云雾见天日,一切谜团都解开了:就是小罗肚子里的小怪物的压迫,导致左下肢及盆腔静脉血栓形成,脱落的栓子游走到肺动脉,造成了危及生命的急性肺动脉栓塞。
小罗隆起的肚子就好像怀孕7-8个月,这个性质不明的巨大肿块,还在慢慢长大,如果压迫不解除,不但会形成新的血栓,而且会压迫肠管,小罗那几天被腹部的胀痛折磨,胃口也已变得很差,并出现了贫血症状。
手术是解决包块最有效的办法,但因为治疗肺栓塞一直在使用的抗凝剂毫无疑问会增加手术中出血的风险,这可能让刚逃出鬼门关的小罗再次面临危险。

于是,小罗被金晓燕主任交到了妇产科丘瑾主任的手上。给刚刚发生急性肺栓塞的病人做手术,风险可想而知,合适的手术时机,正确的手术方式,完善的围术期管理......这一个个问题摆到了丘瑾主任面前。
再大的困难,也有敢于挑战的勇士
确实是个“烫手山芋”,但还是要接,并且要接的稳稳的,面临病魔的挑战,挺身而出本就是医生的天职。
在手术前,丘瑾主任再次组织了多学科会诊,邀请呼吸与危重症医学科、血管外科、麻醉手术科、影像科等多个兄弟科室的主任共同讨论商定治疗方案,从手术时机的选择,围术期药物的调整,血栓再次脱落的预防等方面反复斟酌。

每个细节都被仔细梳理,务求万无一失。终于,经过1个月低分子肝素抗凝治疗,2021年9月2日9点20分,同仁医院2号楼的15号妇科手术间的无影灯下,手术开始了,小罗的肚脐处被打开了一个小小的切口,荷包缝合后整整3000毫升暗红色囊液被吸出!
置入腹腔镜后,发现大包块是右侧卵巢内膜异位囊肿,囊壁与盆腔腹膜和肠道广泛粘连,左侧另外还有一个6cm的卵巢囊肿。
手术团队小心仔细地分离卵巢组织与周围脏器的粘连,剥除囊肿病灶,重新把卵巢恢复到正常的模样,麻醉团队则目不转睛地盯着监护仪上的生命指标,调整着补液。一阵胆战心惊的“血雨腥风“之后,一切又归于平静,小罗的肚子也重现平坦。
因为是微创腹腔镜手术,在护理团队的精心照料下,小罗恢复得比预想的还要快,术后第5天,卸掉了大包袱的小罗顺利康复出院。

她的治疗还在门诊进行中,抗凝药物、预防囊肿复发的药物......,但可以肯定的是,这次死神被彻底打败了!
科普时间

静脉血栓栓塞症(Venous thromboembolism,VTE)为妇科围手术期尤其是肿瘤患者最常见的并发症,也是妇科术后死亡的首要原因之一,成为妇科患者的凶残“隐形杀手”。
VTE是指静脉内的血栓形成,常见于下肢深静脉内,称之为下肢深静脉血栓形成(deepveinthrombosis,DVT)。当血栓从生成部位脱落,进入血液循环系统,到达肺部,则导致具有致命性的肺栓塞(pulmonaryembolism,PE)。
DVT和PE是VTE在不同部位、不同阶段的两种临床表现形式。VTE症状多样,轻则无症状,重则休克甚或猝死。DVT通常始于小腿,主要表现为小腿肿胀、疼痛;PE可表现为呼吸困难、胸痛、咳嗽、咯血,较少见的症状为晕厥前兆、晕厥和心律失常。
妇科肿瘤患者及妇科手术患者为VTE的高危人群。肿瘤压迫导致的静脉回流障碍,肿瘤所致的高凝状态以及手术引起的血管壁损伤、脱水、活动减少,均明显增加患者的VTE风险。
妇科疾病引发VTE的高危因素有:恶性肿瘤、盆腔手术操作、高龄、肥胖、放化疗、雌孕激素治疗、长期卧床等。
VTE预防三部曲:
1、基础预防:足踝主动或被动运动,挤压小腿肌群;术后尽早下床活动;多饮水,避免脱水;抬高患肢20~30°,避免腘窝或小腿处垫枕;戒烟戒酒,控制血糖。
2、机械预防:梯度加压弹力袜;间歇充气加压泵;足底静脉泵。
3、药物预防(普通肝素、低分子肝素、利伐沙班等抗凝药物)。
科室介绍&门诊时间
同仁医院妇产科是上海市医学重点专科、长宁区医学重点专科、长宁区硕博士人才创新基地(宫颈肿瘤)。开放床位72张,年门诊量15余万人次,出院病人6000人次。妇科年住院手术量2000台,其中三四级手术率达86%,微创手术比例85%以上,急腹症腹腔镜手术率99%以上,产科年分娩量2000人次。
【妇科临床特色】
1、盆底障碍性疾病(子宫脱垂与尿失禁)的个体化评估与分级诊治;
2、子宫内膜异位症、肌腺症等疾病的综合管理,通过开展多学科协作(MDT)、保留子宫的微创术式及术后系统治疗,完成一站式综合诊疗;
3、生殖内分泌与生殖外科“内外兼修”,保存生育力及个体化助孕;
4、宫颈疾病及生殖道感染疾病的闭环管理。
【丘瑾主任门诊时间】
专家门诊:周二全天
特需门诊: 周一上午、周三上午

供稿:妇产科 陈静 丘瑾
编辑:宣传科