3D腹腔镜辅助下
全胃及脾胰体尾切除术
近日,同济大学附属同济医院普通外科肝胆胰病区施宝民教授团队成功实施1例3D腹腔镜下全胃及脾脏胰体尾切除术。
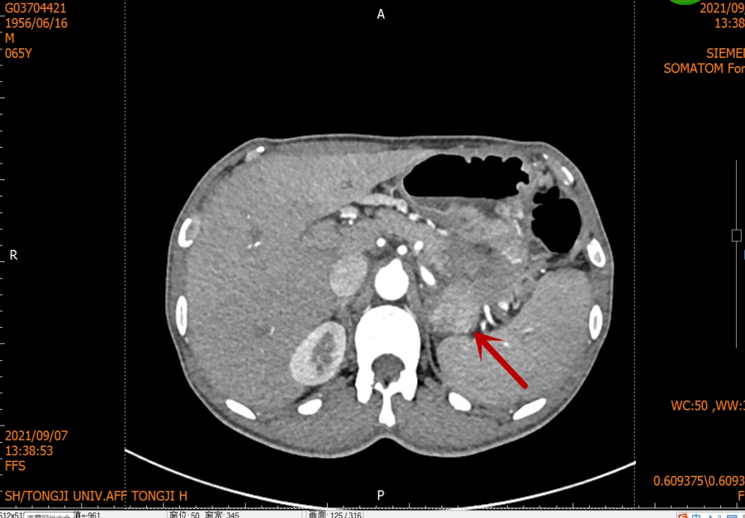
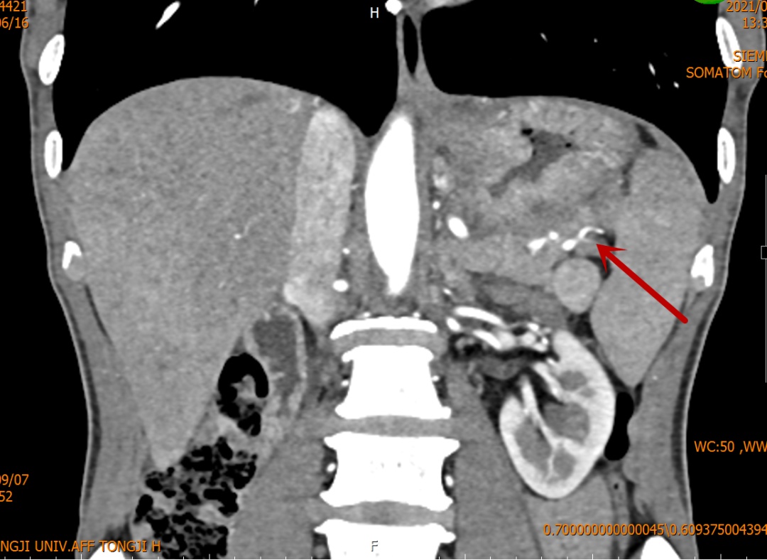
患者为一位60多岁男性,因“纳差,消瘦三月余”在当地医院行胃镜检查提示:胃底、贲门肿瘤;CT检查发现肿瘤体积较大,侵犯胰腺及脾门可能。患者家属慕名来到同济医院找到施宝民主任就诊。


施主任接诊病人后,尽快安排患者住院并完善术前检查。增强CT等影像显示胃部肿瘤体积较大,浸润范围广,位于胃底、胃体直到贲门,向后已经侵犯脾动静脉脉及脾门,与胰腺体尾部浸润成一团。单纯全胃切除术不能完整切除肿瘤,而必须联合三脏器切除(全胃+脾脏+胰腺体尾部)做整块切除。但手术难度大,创伤大,给医患双方都是巨大挑战。开腹手术切口长、创伤大,腹腔镜腔镜手术的切口小、创伤相对较小,但对手术团队腹腔镜外科技术要求更高。最终结合患者一般情况,经全科医生讨论后,决定实施腹腔镜辅助下全胃切除术+脾脏切除术+胰体尾部切除术+淋巴结清扫术。在麻醉科韩松副主任医师的精准麻醉和通力配合下,施宝民主任带领团队成员林锐、季堃主治医师用时4个多小时,顺利完成了手术。

施宝民主任在行腹腔镜手术
患者术后予以TPN营养支持,转归良好,无并发症发生,于术后第8天出院。回家一个月后门诊复查,进食顺利,食欲恢复,体重有增加,精神状态良好。嘱患者近期进行化疗等进一步治疗,以确保手术后的效果。

专家名片

施宝民
同济大学附属同济医院
普通外科副主任
主任医师、教授、博士生导师
专家门诊:周一全天
特需门诊:周三上午
2000年毕业于华中科技大学同济医学院,获得博士学位,2004年赴法国欧洲微创外科中心进修腹腔镜外科。2007年~2008年国家留学基金委全额资助在德国洪堡大学Charite 医学院作访问学者,并获得德国医学博士学位。
主要从事普外科尤其擅长肝胆胰脾外科及其微创外科的基础和临床研究。对于肝胆胰及消化道肿瘤、复杂的肝内外胆管结石、门静脉高压症的外科治疗和微创外科技术有较深入研究。作为高级访问学者,在德国师从著名外科学家、欧洲外科学会主席Neuhaus教授。开展各类腹部大型复杂及微创外科手术,实施手术数千例,以创伤小、并发症低、恢复快、远期临床效果好为特色。
近年来相继开展保留十二指肠的胰头切除术、保留幽门的胰十二指肠切除术、保留脾脏的胰体尾切除术、精准半胆或肝段切除术、部分脾切除术、合并部分肝及胰十二指肠切除的胆囊癌扩大根治术、合并半肝切除的肝门部胆管癌的扩大根治术等多种新术式,赢得国内外同道的认可及广大患者的好评。
腹腔镜微创外科技术可以熟练应用于各类肝胆胰脾及胃肠外科手术。腹腔镜下肝叶切除、胰腺肿瘤切除,腹腔镜下胆总管切开取石、腹腔镜下脾脏切除及脾段切除术等,积累了丰富经验。还开展了经脐单孔胆囊切除、肝囊肿切除等单孔微创外科手术。不但见效快,同时疤痕小或者无疤痕,做到了术后较好的美容效果。
先后承担国家自然基金等国家10项。多次赴欧美等国家参加国际会议并大会发言。获得省部级三等奖多项。国内外发表论文100余篇,SCI收录杂志20余篇。主编专著2部,副主编2部,参编专著10部,英文专著《Liver cancer: new research》在美国NOVA出版社出版。
担任中华医学会外科分会实验与转化医学学组委员,上海市抗癌协会胆道肿瘤专委会副主任委员,科技部国际合作计划评审专家、上海市普外专业委员会委员、上海市普外专业委员会胆道外科学组委员、上海市普外科质控专家委员会委员、中国医师协会上海肿瘤医师分会委员、中国医师协会上海普外医师分会委员、上海中西医结合外科委员会常务委员、上海中西医结合外科委员会腹腔镜微创外科学组副组长,上海市医学会第四届医疗事故鉴定委员会专家、中国微循环学会肿瘤专业委员会肝胆胰学组副组长、中国医院协会医疗技术委员会肝胆胰肿瘤专家组组长、中国研究型医院协会数字分会胆道损伤专业委员会委员、国家自然基金评审专家、《World Journal of Gastroenterology》、《世界华人消化杂志》编委,《国际外科学杂志》编委,《中华实验外科杂志》编委,《中国现代普通外科进展》青年编委,《中华医学杂志(英文版)》等。
图文 | 普通外科
编辑 | 宣传处