
每次天热时穿短袖衣服就会怕有人问起“你手臂上长的是什么啊,会不会传染啊?”;每当看到别人光滑亮白的手臂,就会心生羡慕;每次看到“祖传秘方”包根治的广告,就会忍不住心动。这些都是“牛皮癣”患者的切身感受。
何谓“牛皮癣”?
在西医领域,“牛皮癣”是银屑病的俗称,它是一种常见的皮肤病,虽然带“癣”字,但并非大家理解的癣病,它不是由真菌感染引起的,不具有传染性。它是遗传与环境共同作用诱发的慢性、复发性、炎症性、全身疾病,除皮肤症状外,可能会累及关节、指甲、头皮、掌跖等部位。银屑病主要出现在青年和中年人群,儿童、老年人发病率低。对于有家族史的人,其发病会较早。中国银屑病患病率约为0.47%,银屑病患者超过650万人。

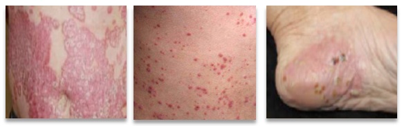
银屑病可以细分为5种:斑块状银屑病、点滴状银屑病、脓疱型银屑病、红皮病型银屑病和关节型银屑病,其中绝大多数(90%)患者得的是斑块状银屑病。

斑块状银屑病 点滴状银屑病 脓疱型银屑病

红皮病型银屑病 关节型银屑病
牛皮癣为什么会找上门?
银屑病是由内外因素共同作用引起的。内因包括患者的遗传背景,免疫状况,内分泌等因素。外因有压力、感染、外伤、天气变化、抽烟、某些药物等因素。

得了牛皮癣,四处难幸免
银屑病影响的不仅是皮肤,银屑病可能会发生在一些特殊部位,影响日常活动。
国外数据显示:
30%的银屑病患者累及关节,可能发生关节畸形病变、功能退化、甚至残疾。
16%的患者累及指甲,出现疼痛、变形,93%的患者因此影响日常社交。
37%的患者累及头皮,出现疼痛、刺痒、流血等症状。
12%的患者累及掌跖,出现疼痛、行走困难、手部活动障碍,患者会有更强的不适感和更高的残疾风险。

牛皮癣不用慌,多方案齐登场
银屑病患者应当如何治疗?
轻度银屑病患者:可使用外用药膏,辅以光疗。


中重度银屑病:需要开始系统性治疗,如注射生物制剂、服用口服药物。


做到这五项,病魔直接凉
需要注意的是,目前还没有能根治银屑病的药物,因此预防复发非常重要。斗“牛”士们在日常生活中要怎么做,才能延长银屑病复发的时间间隔?
① 调畅情志
治病先治人,只有整个人的状态好了,才能拥有更好的抗病能力。银屑病患者本来就有一定的心理压力,再加上周围有些人的态度不好,患者更容易焦虑、抑郁。精神紧张是银屑病很常见的诱发因素,所以患者要学会坦然接受、积极面对、正确治疗、劳逸结合,身心愉悦才能更好地生活。

② 增强体质
一旦身体其他器官出现疾病,可能就会诱发银屑病。所以银屑病患者一定要适当运动避免感冒,控制饮食预防胃肠炎。一旦生病,患者要及时就医,避免诱发银屑病。

③ 修护皮肤屏障
银屑病患者皮肤屏障功能受损,需要小心修护。即便皮疹瘙痒难忍,患者也不能用很热的洗澡水沐浴,要用温水沐浴。同时,患者在洗澡的时候不要使劲搓揉,轻轻擦拭即可。建议洗澡后涂抹保湿润肤乳,加快皮肤屏障功能的修复。

④ 保持良好的生活方式
适当的晒太阳对治疗牛皮癣有很大好处,但要避免暴晒晒伤皮肤。室内要经常换气通风,保持环境的干爽。穿着舒适干净的衣物,以防感染其他皮肤疾病,加重病情。

⑤ 积极正确的治疗
银屑病还没有根治的药物。如果你听说某某药包治银屑病,那一定是骗子!还有些患者不敢使用激素,其实激素(糖皮质激素)是全世界公认的治疗银屑病的药物,只要用药规范,不仅不会产生很大的副作用,还能很好地控制病情。所以,选择正规的医疗机构,进行恰当的治疗才是银屑病患者的最佳选择,建议及时前往正规医院皮肤科就诊咨询。

门诊时间
上海交通大学医学院附属同仁医院皮肤科
银屑病专病门诊时间:每周三上午8:00-11:30
地点:仙霞路1111号门诊楼6楼A区

(配图源自网络,如有侵权请通知删除)
供稿:皮肤科 刘玮;编辑:宣传科 娄斯敏