“哇……”随着一声嘹亮的婴儿啼哭,瑞金医院手术室里18名医护悬着的心都放了下来。近日,上海交通大学医学院附属瑞金医院手术室进行了一台惊心动魄的手术,8大科室、18名医护共同联手,圆了从小患有先心病合并气管狭窄的盈盈做妈妈的愿望。
01
从未想过自己能当妈妈
去年8月,26岁的盈盈惊喜的发现自己怀孕了,但紧接着袭来的是无尽的恐惧,她从没想到过自己能当妈妈。
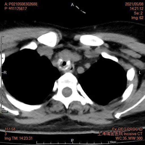
原来,盈盈患有先天性心脏病以及气管狭窄,3岁就做了开胸室缺修补手术,自幼气管狭窄气管切开放了支架,因为气管内反复肉芽增生,多次做了介入治疗,直到四年前才停止频繁的气道手术,但气道最狭窄处直径只有6.7mm。

盈盈气管的CT
“这是上天送给我的礼物。”想到自己好不容易能够像个“正常人”一样生活,盈盈怎么也不想放弃当妈妈的机会。
盈盈要开始产检了,想到自己的“特殊”,她和家人一致决定去一家综合实力最强的医院生孩子。
“除了瑞金医院,我们哪里都不放心,”常年在上海生活的夫妻俩直奔上海瑞金医院产科。
02
拉风箱般的呼吸声
经过瑞金产科的精心照护,盈盈安然度过了34周。今年4月,怀孕34周的盈盈感觉自己的呼吸非常吃力,每一次的呼吸都伴随着“嘶……嘶……”的声音。
“你已经出现明显的呼吸困难表现,必须住院监护,如果发生缺氧就会影响腹内宝宝的发育。”在产科刘延主任医师的坚持下,盈盈住院观察。幸好检查下来一切指标还算正常,由于不想过早生产,坚强的盈盈决定再捱一捱。


左图:盈盈凹陷的气管
然而,出院还不到2周,盈盈就觉得呼吸愈发困难,呼吸声也越来越大。5月初来瑞金产检时,她再一次被刘延主任留在医院,当时她的每一次呼吸都非常费力,呼吸声就像是拉风箱,呼啦呼啦的。
“你的心肺情况快要超过身体能承受的极限了,再拖下去不仅孩子面临缺氧窒息,你也会面临极大风险,”刘延主任苦口婆心地劝说,“建议你尽快剖腹产吧。”
考虑再三,盈盈终于同意了。
03
生死就在一瞬间,
必须做好万全的准备
盈盈的剖宫产手术需要做好万全准备:如果硬膜外麻醉不成功,就需要全麻下进行气管插管维持呼吸,而盈盈的气道直径仅有6mm,根本无法完成常规的气管插管,一旦孕妇窒息,腹内的胎儿则同样面临窒息的危险……
为确保万无一失,刘延主任团队立即行动——完善一系列检查,组织多学科协作会诊,产科、麻醉科、心外科、呼吸科、重症医学科、新生儿科、产安办、手术室八大科室联合行动。
产科刘延主任医师、钟慧萍副主任医师,重症医学科李磊主任医师,呼吸科陈巍副主任医师及麻醉科包程蓉医生等,针对可能发生的危险,制定了严密的治疗流程以及多种危机应对方案,甚至做好了ECMO的准备,并多次与盈盈及其家属进行了详尽沟通,安抚他们的紧张情绪。
方案一
优先进行硬膜外麻醉下的剖宫产
方案二
若硬膜外麻醉平面太高,呼吸抑制,患者出现通气困难,则尝试气管镜下插管辅助呼吸
方案三
若气管插管不畅,则立刻启动体外膜肺氧合(ECMO)方案下的剖宫产
“产妇和胎儿的生死就在一瞬间,我们必须做好万全准备!”参与会诊的各位医生立刻分头行动,各自进行完善的术前准备。产科安全管理办公室胡秋敏及手术室王维、沈洁芳护士长作为各个科室坚挺的后盾,做好了全部的协调工作。
04
母子平安,我的选择没有错
5月10日,18位医护人员齐聚手术室,产科、麻醉科、呼吸科、重症医学科、手术室的相关工作人员严阵以待,各司其职,投入到了剖宫产手术中。
麻醉科董榕主任硬膜外麻醉一针到位,完美的控制了麻醉平面,并进行手术的全程监护。
产妇没有出现呼吸抑制!
产科刘延主任团队毫不放松,立刻进行剖宫产手术。
呼吸科陈巍副主任医师、妇产科唐海婷副主任医师、手术室团队及重症医学团队进行手术协助。
13:58一阵嘹亮的啼哭声响起,这个来之不易的宝宝出生了!母子平安,早产儿指标也一切正常!在场18名医护都长舒一口气,刘延主任绷紧的心弦也终于放下了……


手术中(资料图)
“在我最害怕的时候,是瑞金医院给了我勇气,手术时竟然有18名医护人员守着我,他们给了我莫大的安全感,感谢他们帮助我实现了做妈妈的愿望,我的选择没有错!”如今,盈盈的呼吸困难已经大大缓解,很快就可以带着宝宝出院了。
上海交通大学医学院附属瑞金医院产科近三年接收了约2000多例高危妊娠孕产妇,建立了多学科危重孕产妇综合救治信息化管理系统,开展了危重孕产妇多学科诊治中心的产科病房一体化建设,建立了一支以产科专业人员为主导的危重孕产妇救治多学科救治团队,形成了“预防-抢救-心理干预”模式的瑞金产科多学科综合救治模式,提升了医院孕产妇急救综合资源调动能力,降低危重孕产妇发生率、提高围产儿生存率和危重孕产妇远期生活质量,使瑞金医院的危重孕产妇救治成功率大于上海市平均95%的水平。
门诊时间 | ||
| _ | 专家门诊
(总院门诊楼) | 特需门诊
(总院10号楼) |
| 刘延
主任医师 | 周五全天 | 周三上午 |
| 钟慧萍
副主任医师 | 周四全天 | 周一上午 |
| 杨辰敏
副主任医师 | 周一下午
周三全天 | |
撰文 | 焦海宁 方 娟
编辑 | 方 娟