近日,长征医院急诊内科来了一位84岁高龄的患者,老先生午饭时吃排骨,不小心呛到了嗓子里。老人用手指抠了几下没用,就拿筷子挑拨了几下,排骨也没有吐出来,他就没当回事。没想到第二天早上出现胸痛和咯血,来到长征医院急诊。
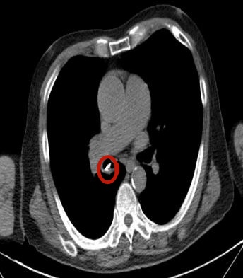
急诊医生给他做了胸部CT平扫,气管里面果然有个高密度影,考虑就是误吸的排骨。

红圈处为老人误吸的排骨碎片
急诊医生紧急呼叫呼吸内科医生会诊,及时安排了气管镜检查。
检查发现,老人的气道里面明显充血,气管镜下清楚地看到一块骨骼碎片卡在了右主支气管管口,最后被成功地钳夹出来了,原来是一个长约3cm两头极其尖锐的排骨碎片。

气管镜下的排骨碎片

取出的排骨碎片
这种情况其实并不少见。
气道内会误吸入很多种异物,有鸡骨头、鱼刺、虾壳、螺蛳、辣椒皮、药物等各种食物,有人立即会出现咳嗽、胸痛、咯血等症状,来医院检查顺利取出异物。还有病人没有任何症状,一旦体检做胸部CT才发现肺里长了一块阴影,做完了气管镜才明确是异物吸入。
很多人喜欢边看电视或看书边吃零食尤其是花生、瓜子等细小的零食,一不小心就容易呛咳到气道里。尤其是小朋友气道比较细,如果出现这种情况容易引起窒息。如孩子有呼吸困难、无法说话等情况,家长要及时采用海姆利克式急救法进行施救,如果孩子有哭闹、咳嗽等情况可继续观察,孩子有可能会将食物咳出。
老年人特别要注意呛咳和误吸的问题。因为随着年龄增长,吞咽反射会迟钝。老人进食时,建议端坐体位,千万不能平躺时进食,而且要集中注意力、细嚼慢咽,不能边吃边说话。
处理误吸的正确步骤
1、用力咳嗽,利用咽喉部的肌肉产生震动,可能会排除异物。
2、千万不要吞米饭,或者用筷子、手指掏出异物,这些做法只能把异物推入气道远端。
3、如出现紧急气道梗阻情况,患者出现憋喘、呼吸困难、无法说话等情况,应及时给予海姆利克式急救法进行施救。
4、建议尽快去正规医院就诊,行胸部CT检查,一旦发现异物,可行支气管镜检查取出异物。

作者|王湘芸(呼吸内科)
监制|季莹
编审|王丹琳
编辑|方梅兰
主管|长征医院政工处
投稿|2577239181@qq.com