什么是胆结石?

通常,老百姓印象中的胆结石就是胆囊结石。胆结石从狭义上来讲就是胆囊里的结石,但从广义上来讲,胆结石包括分布在胆囊的结石、肝外胆道的胆总管结石和肝脏里面的肝内胆管结石。胆囊结石的发病率大约为10%左右,其发病率比较高。
胆结石有哪些诱发因素?
高龄、女性、富含碳水化合物而缺乏纤维的高热量饮食,加上肥胖和遗传因素,是胆结石最重要的诱发因素。
胆结石有哪些种类?

(胆固醇结石)

(胆色素结石)
主要包括胆固醇结石、胆色素结石以及混合型结石等。
胆结石有哪些危害?
结石在胆囊内形成后,可刺激胆囊黏膜,不仅可引起胆囊的慢性炎症,而且当结石嵌顿在胆囊颈部或胆囊管后,还可以引起继发感染,导致胆囊的急性炎症。同时由于结石对胆囊黏膜的慢性刺激,还可能导致胆囊癌的发生。结石进入胆管,还会引起胆管炎,胰腺炎,严重的会有生命危险。
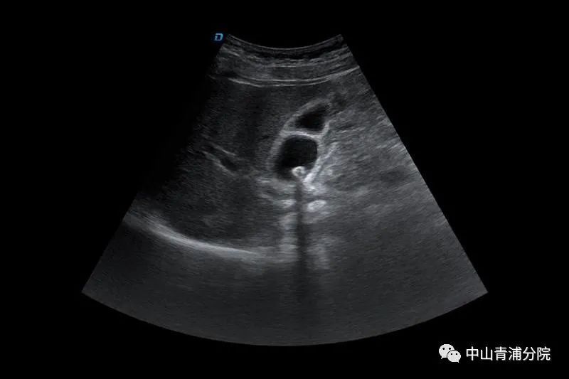
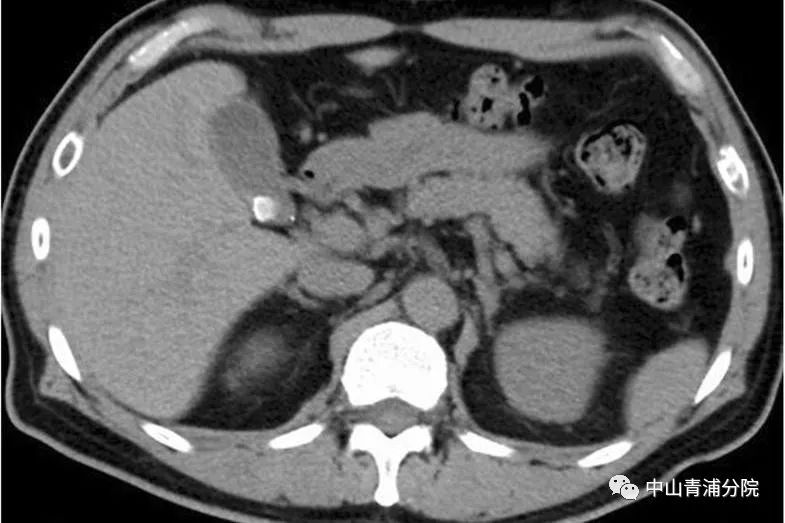
如何发现胆结石?

(胆囊结石B超表现)

(胆囊结石CT表现)

(胆囊结石MRI及MRCP表现)
患者往往有胆绞痛发作的病史,发作部位多位于上腹部或右上腹部,一般持续15分钟以上,疼痛可放射至右肩或后背,常伴有恶心或呕吐。大多数胆囊结石可以通过腹部B超、CT、内镜超声或磁共振胰胆管成像(MRCP)等明确诊断。
得了胆结石怎么治疗?
得了胆囊结石,要彻底根治只能采取手术,药物治疗只能缓解症状,无法去除结石。
哪些情况需要手术?
有下列情况之一均需要手术治疗
①虽没有症状,但结石比较大;或者结石虽小,但有临床症状,比如腹痛等;
②胆结石伴有胆囊息肉,且息肉>1cm;
③胆囊壁钙化或瓷性胆囊;
④发现胆囊结石10年以上;
⑤反复发作的胆囊炎;
⑥边远或交通不发达地区、野外工作人员,预防性的治疗;
⑦胆总管结石;
⑧肝内胆管结石,有反复发热、腹痛。
有哪些手术方式?各有什么优缺点?
传统的开腹手术
创伤相对较大,术后康复慢。
腹腔镜胆囊切除术
包括三孔或四孔手术,以及单孔手术,其中单孔手术术后几乎无疤痕,美观;还有经会阴的无疤痕手术,术后看不到疤痕,真正做到术后无痕。
保胆取石手术
包括腹腔镜保胆取石术(三孔或四孔),还有单孔腹腔镜保胆取石术,有研究表明,在严格把握指征的情况下开展此类手术保留了胆囊的生理功能,术后出现腹泻、消化不良的患者比例大大减少。

(不同方式行胆囊切除术的图示)
超声引导下经皮经肝胆囊穿刺置管引流术
主要针对一些胆囊结石患者同时合并急性胆囊炎,症状危重、年老体弱或同时合并严重的心、肺、肝、肾等脏器疾病不能耐受上述手术时。
ERCP手术
通过口腔,像做胃镜一样,就可以取出胆总管内的结石。
PTCS手术
肝内胆管结石,也可以通过经皮经肝穿刺,扩大窦道后通过胆道镜取石。
腹腔镜手术
切除胆囊并可同时取出胆总管内的结石。
资料:中山青浦分院
责编:胡小凡