李女士今年36岁,刚生完二胎不久的她在体检的时候查出胰腺有一个“大囊肿”。周围很多人都告诉她:“囊肿有什么关系啦,好多人体检都有的!”但李女士终归还是有点不放心,于是来到新华医院普外科专家门诊。
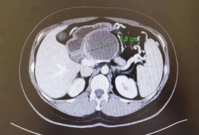
经过增强CT的检查,医生发现李女士的胰腺囊肿位于体部,直径7厘米左右,囊壁有结节样凸起。结合李女士之前并没有胰腺炎及胰腺外伤的病史,龚伟主任判断李女士的胰腺囊肿并不简单,极有可能是胰腺粘液性囊腺瘤,这是一种存在癌变倾向的胰腺囊性肿瘤,需要尽快手术治疗。

图:CT发现胰腺上直径7cm的囊肿
当告知李女士病情且建议其手术时,李女士吃惊的说“不是说囊肿就是水泡,不用手术吗?”经过龚伟主任详细的说明,李女士终于明白这个胰腺的“囊肿”非同小可。
在周密的术前准备后,李女士在新华医院普外科接受了保留脾脏的胰体尾切除术,龚伟主任医师和吴向嵩副主任医师完整切除了连同肿瘤在内的胰腺体尾部,保留了脾脏,最大程度地保留了李女士脏器功能。手术和术后恢复都非常平稳,术后8天便顺利出院。
最令人感到幸运的是,最终的病理结果显示:交界性胰腺粘液性囊腺瘤伴高级别上皮内瘤变。可以说要是再晚一段时间,李女士的“胰腺囊肿”可能就是癌了。

图片来源于网络
胰腺囊肿≠肝囊肿或肾囊肿,需警惕!
通俗地讲,囊肿是一种囊性的、其内为液体的病灶。腹腔实质脏器囊肿以肝囊肿和肾囊肿较多见,但胰腺囊肿也不在少数。
不同于肝囊肿及肾囊肿绝大多数为良性疾病,胰腺囊肿的性质非常复杂,既有良性的囊肿也有恶性的囊肿。可以说,囊肿只是胰腺病变的一种表现形式,医学上一般称为胰腺囊性病变。
具体包括有假性囊肿、淋巴上皮囊肿,黏液性囊腺瘤、浆液性囊腺瘤、胰腺导管内乳头状黏液肿瘤、实性假乳头状肿瘤、神经内分泌肿瘤等,甚至部分胰腺癌也可以表现为囊性病变。除了前两者,后面一系列均为肿瘤性病变。
因此,对于胰腺的“囊肿”不能一概而论,一定要仔细加以鉴别,千万不要因为听说是“囊肿”而大意。
胰腺囊肿是否都需要手术?
对于胰腺出现囊肿的患者,医生通常会安排增强CT以及磁共振等检查,加上抽血化验肿瘤标记物等,进一步判断病灶的性质。
由于胰腺囊肿包含多种多样的病理类型,所以一定要让专业的医生来判断胰腺囊肿的良恶性,由此决定治疗方式,并非都需要手术,但也并非都无需手术。
总体而言,对于良性的假性囊肿、淋巴上皮囊肿以及极少数恶变的浆液性囊腺瘤等,仅在病灶很大出现压迫症状等情况才需手术。
而对于像黏液性囊腺瘤、胰腺导管内乳头状黏液肿瘤、实性假乳头状肿瘤、神经内分泌肿瘤等可能恶变的胰腺囊性肿瘤,多数情况下需要手术切除。

图片来源于网络
胰腺囊肿的手术方式如何?
胰腺囊肿的手术方式取决于医生对其性质的判断,由于胰腺囊肿的病理性质各不相同,具体手术方式也各不相同。
对于良性的或低度恶性的胰腺囊性肿瘤,包括如黏液性囊腺瘤、胰腺导管内乳头状黏液肿瘤、实性假乳头状肿瘤、神经内分泌肿瘤,多数可以采取腹腔镜下保留功能的胰腺切除术,包括如肿瘤剜除、保留脾脏的胰体尾切除、保留十二指肠的胰头切除术等,手术创伤较恶性肿瘤小,且最大程度地保留了脏器功能。
对于已经恶变的肿瘤,如黏液性囊腺、胰腺导管内乳头状黏液肿瘤恶变等,需按照恶性肿瘤的原则进行根治性胰十二指肠切除术或根治性顺行性模块化胰脾切除术。

图:龚伟主任医师和吴向嵩副主任医师在进行手术
科普结束
医生介绍

