30岁的白领小刘常久坐缺少运动,受便秘困扰多年。听说现在有无痛结肠镜,“睡一觉就能完成肠镜”,因而预约了检查。但检查结果却令她大吃一惊,结肠镜检查结果显示:全结直肠黏膜豹纹样褐色素沉着,诊断为“结肠黑变病”。小刘认定是长期便秘带来的“宿便”污染了她的肠子,电视里都说“宿便”会让人体内毒素积聚,造成长斑、长痘,现在连自己的大肠都变黑了。然而内镜专科的医生却告诉小刘,“宿便”是一个伪科学概念,任何正规的医学教科书上都没有这个词;她的肠子之所以会变黑,反而是那些打着“清宿便,排肠毒”、“排毒养颜”、“通便减肥”保健品惹的祸。
今天我们就来谈谈什么是“结肠黑变病”。



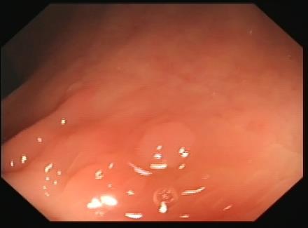
正常结肠黏膜(左),结肠黑变病黏膜(中、右)
01
什么造成了“结肠黑变病”?
长期滥用蒽醌类的泻药(包括番泻叶和大黄等)是造成结肠黑变病的主要原因。回顾性研究发现结肠黑变病人群中,疾病的严重程度与服用泻药时间、剂量显著相关。动物试验中,大黄长期灌胃法成功在豚鼠体内重现了结肠黑变病模型。值得注意的是,一些打着“健康草本”旗号的保健品,包括芦荟、决明子、麦冬、黄芪、何首乌等植物同样含有蒽醌类化合物。


芦荟 黄芪


决明子 麦冬
02
怎样诊断“结肠黑变病”?
目前对于结肠黑变病的诊断仍然主要依据结肠镜下的表现以及组织病理检查。内镜下表现为结肠黏膜存在不同程度和范围的色素沉着,可弥漫分布全结肠黏膜或局限分布于某段黏膜。组织病理检查可见黏膜固有层间质内可见大量吞噬色素颗粒的巨噬细胞沉积,而上皮细胞层正常。
03
“结肠黑变病”是否增加结肠腺瘤或肿瘤的发生?
相关研究的结果并不一致。目前大多数学者倾向于结肠黑变病与后两者的发生没有直接关系,但是也缺少大样本的前瞻性研究以及回顾性研究证实。另一方面,由于结肠腺瘤或息肉不着色,小病灶在黑色背景下反倒更容易显现,更易被检出,这也可能是某些学者认为结肠黑变病增加结肠腺瘤发生的原因。


正常结肠黏膜(左)和结肠黑变病(右)背景下的小息肉病灶
04
我的肠子黑了还能恢复吗?
结肠黑变病是一种良性疾病,目前尚没有治疗的特效药物,但通常停用上述泻药后可逐渐恢复。有研究报道,该疾病通常在服用蒽醌类泻药 5个月内发生,停用6~12个月后逆转,因而及时停用相关蒽醌类药物是关键。
对于长期便秘者在结肠镜检查排除器质性病变后,应给予综合性治疗。首先,需要调整饮食和生活方式,养成每天定时排便习惯,补足水分,增加粗纤维饮食,同时适度运动;若调整生活方式无效者,可考虑使用促肠道动力药及非蒽醌类泻剂通便。


上海市同仁医院内窥镜室是一支规范高效的医疗队伍,紧紧围绕胃肠道早期肿瘤内镜下诊断及治疗、胆道疾病内镜下诊断及治疗,门脉高压胃底食管静脉曲张内镜治疗等方向,开展了胶囊小肠镜、磁控式胶囊胃镜,电子小肠镜、放大内镜、电子染色内镜(NBI/FICE/BLI)、超声内镜、超声内镜引导下细针穿刺、胆道疾病十二指肠镜下诊断及治疗、内镜黏膜下剥离术、内镜黏膜下挖除术、内镜下胃壁全层切除术、经口内镜下贲门括约肌切开术等诊疗项目,承担了长宁区70%以上的消化内镜诊疗工作,乃至上海西部地区大多数的内镜急救工作。
供稿:内窥镜室 褚以忞;审核:科研科 符艳蓉