同仁医线系列⑭

2022年3月30日,一名76岁男性患者无明显诱因下出现发热,最高体温 39.5度,伴有畏寒寒战,来院急诊以肝脓肿收治入院。
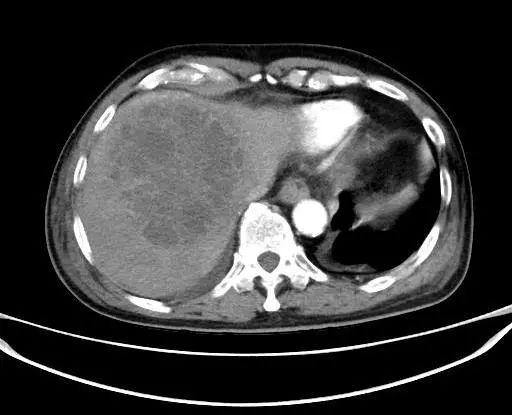
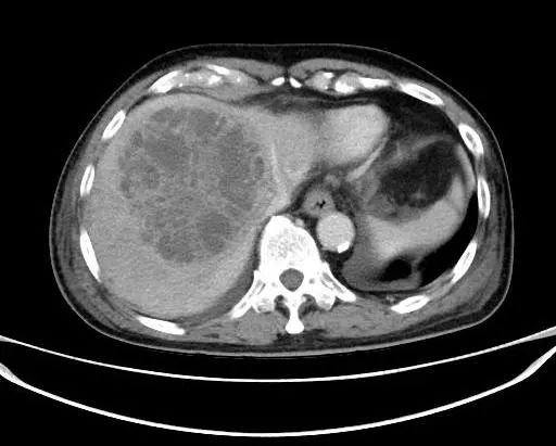
经过数天抗感染治疗,ct复查示脓肿持续增大,白细胞居高不下,肝肾功能出现异常,为了防止病情进一步发展,普外科与超声医学科陈曼主任会诊后认为急需进行超声引导下肝脓肿穿刺置管引流,需要对抽出的脓液进行细菌培养和药物敏感试验,以便选用有效的抗生素进行治疗,同时置管引流脓液。


4月8日,正是医院第一次整体换防后的第三天,考虑到患者的情况迫在眉睫,医院立即启动防疫期间紧急预案,召回正封控在家的超声医学科2名医生及1名护士。在上海抗疫形势异常严峻的当下,逆行者们凭通行证赶往医院,刻不容缓的穿好大白及隔离衣,推着机器急速奔赴病房。


术前对病灶进行充分评估,并做了超声造影,肝脓肿较成人拳头略大,內见较多的分隔。
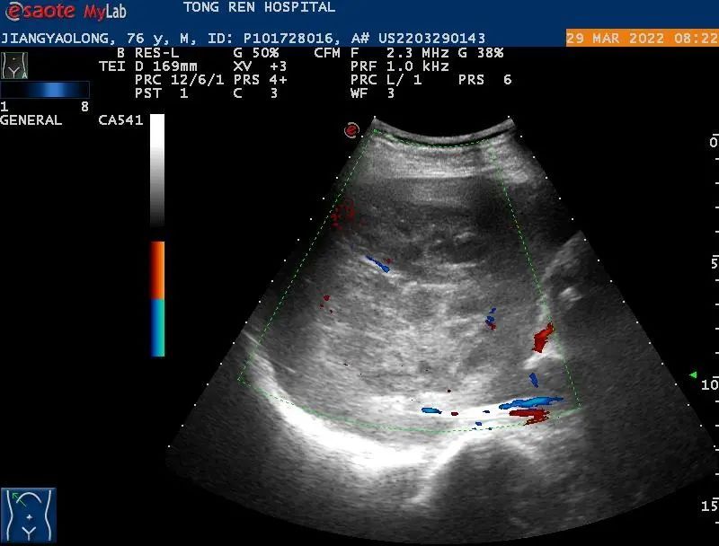
于是,我们决定进行肝脓肿的置管引流。同时,患者的核酸报告结果也为阴性,在封控的情况下,我们第一次在身穿防护服及三层手套的条件下进行手术,抽出脓液20ml,并顺利完成了置管引流,过程顺利,病人安全。
目前,正值上海抗疫最严峻的时刻,超声医学科在此特殊时期,除了留守在医院的每一批成员加强疫情防控措施,确保院内患者安全外,院外的所有成员也积极参与到核酸采样等工作中去,无论在什么岗位,超声医学科全员都秉持着无愧于这个职业、无愧于心、无愧于这个时代,我们一定会战胜疫情,攻克难关!



超声引导下肝脓肿穿刺置管引流术简介
此项技术是指通过超声评估,确定患者是否满足肝脓肿穿刺的条件、有无进针的安全路径以规避肝内重要管道结构(如肝动脉、肝静脉、肝内胆管及门静脉等)。患者通常局部麻醉,在超声实时监测下,医生可从入皮肤开始,全程直观的观察并操作穿刺针以最安全的路径到达肝脓肿部位,抽吸脓液并置管引流,具有安全、创伤小等优点。
适应症:
1、已液化的单发性或多发性脓肿,直径≥3cm;
2、单纯抗感染无效或中毒症状较重者;
3、无腹膜炎或其他需要手术治疗的疾病;
4、年老体弱、病情危重不能耐受手术者;
5、诊断性穿刺,以了解肝脓肿类型,行细菌学检查,选择治疗方法。
禁忌症:
1、有严重出血倾向者;
2、穿刺路径无法避开大血管者;
3、脓肿早期,脓腔尚未完全液化,以实性炎症为主者。
团队简介
上海市同仁医院超声医学科正逐步从超声诊断向超声介入诊疗转型。目前,超声介入组已形成由主任医师带队,副主任医师加高年资主治医师为主体,专科护士配合的专业介入团队。操作项目已涵盖九大板块,日常常规开展超声引导下浅表、腹部等多脏器组织肿块细针、空芯针活检,超声引导下胸腔、腹腔、心包置管引流,超声引导下胆囊置管、肝脓肿置管引流及超声引导下囊肿硬化治疗等微创诊疗项目,配合临床需求,为患者的疾病诊断和治疗提供更多、更好的服务。
门诊时间
【超声介入专家门诊】
陈曼(主任医师):每周五上午
唐蕾(副主任医师):每周二下午、每周三下午
【超声介入专病门诊】
周一到周五全天

预约就诊请关注公众号:

供稿:超声医学科 阳军、郑雯
编辑:宣传科
上观号作者:上海市同仁医院