
各位应该都听说过胃镜、肠镜吧?听过也好,没听过也罢,今天的主角不是它们,而是它们的“战友”——气管镜。
气管镜?听起来有点可怕,此乃何物?估计大部分人都不太清楚这气管镜到底是何方神圣?有什么用?什么情况下需要做气管镜检查?

今天,小编就带大家来看看,有着“呼吸之眼”之称的诊疗利器——气管镜。
开讲之前,让我们先把时针拨回到2020年12月2号傍晚19:30分,今天的故事从这里开始……
一只“误入歧途”的虾
2020年12月2日傍晚19:30,呼吸与危重症医学科的章医生正在忙碌着。突然,急诊耳鼻咽喉科来了一个电话:“章医生,有个人肺里呛进了虾,麻烦您赶紧来看一下。”
章医生:“什么?虾?!我马上到!”
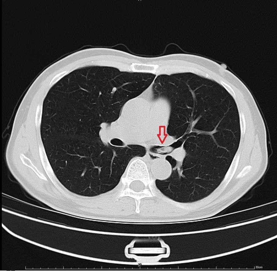
章医生在影像科门外见到了正在等胸部ct报告的患者王先生。
“王先生是吧,怎么回事?”
王先生边咳边说:“医生,我晚上吃虾,本想先吸一下汤汁尝尝味道,结果用力太猛,一下把虾吸到肺里去了,我现在感觉胸好闷啊……”。
“别着急,我先看看你的胸部ct结果。”
“……”
章医生:“你的胸部ct我看了下,是虾呛到气管里了,要马上在气管镜下取出来。”


(ct结果显示王先生的左肺有一只虾)
在请示金晓燕主任后,章医生立即通知距离医院最近的严瑾副主任及气管镜室周燕护士,同时迅速做好患者的气管镜前检查并将患者转运至气管镜室,等待严主任和周护士赶到后,进行气管镜检查。
片刻,严主任已赶到并准备就位。只见镜头进入左总支气管,一只河虾的额刺赫然在目,完全阻塞了气管腔。所幸,额刺并没有扎入气管道引起大出血,不然后果不堪设想。

“准备异物钳。”严主任指示道。
“异物钳准备!”周燕回应。
“开!”、“夹!”随着严主任一声令下,一只完整的虾头被取了出来……
“得再下去看看,气管里可能还有东西没取出来!”严医生说道。
气管镜再次进入,果然,在左总支气管内,还有一整块虾肉卡在里面。于是,再次准备用异物钳夹取,但是虾肉质地滑软,无法顺利夹出。
该怎么办?这时严主任说道:我们可以先用冷冻法,使虾肉硬化,然后再用异物钳取出。于是经多次冷冻后,硬化的虾肉终于取出。整个操作过程,耗时38分钟。
异物全部取出后,王先生不停向医生们道谢:“谢谢你们,太谢谢你们了!是你们救了我的命啊!”
医生们风趣的回应道:“你这虾吃的代价有点大诶。”
“哈哈哈……下次我一定注意,哈哈哈。”经过2天的观察及抗炎治疗,王先生顺利康复出院。


(镜头下的虾肉和取出后的虾)
看到这里,想必许多小伙伴都为这位大意的王先生捏了一把汗。好在我们的医护人员,顺利将王先生的情况化险为夷。
其实,像这种气管里卡进异物的事例,在我们生活中不在少数,鱼刺、牙齿、玩具零件、干燥剂、针头……各种各样,超乎你的想象。这些时候,唯有气管镜可解此窘境……
会跑的牙齿
外伤打掉的门牙,竟然神不知鬼不觉的跑到了左肺上叶支气管。像牙齿这种质硬光滑的个体异物,一般进入下肺管腔居多,扎根在上肺管腔内属实少见。最终,这颗“调皮”的牙齿通过气管镜冷冻的方法成功取出。



致命的针头
这位患者,一时想不开做"傻事",情急之下口吞三枚针头。幸好,呼吸内镜医师冒着风险,在气管镜下顺利取出,避免了一场悲剧。



时至今日,气管镜检查在呼吸疾病领域,已成为一项不可或缺的检查和治疗手段。从过去的纤维支气管镜到现在的电子支气管镜、超细支气管镜。各种治疗的支气管镜等先进设备和技术,已成为了呼吸学科发展的新引擎,在疾病的诊断和治疗中大展身手,立下汗马功劳。
多才多艺的“气管镜”
精准定位肺部结节
超声小探头、实时电磁导航、虚拟导航等技术的临床应用,即使小于5毫米的小结节也能得到精准定位活检。


解气道梗阻之危
大气道梗阻,命悬一线。气管镜在抢救急诊大气道梗阻的病人时,有不可替代的作用。关键时刻,氩等离子体凝固术、冷冻技术、激光消融、支架植入......十八般武艺,救人于生死时速。


除了以上技能,气管镜还有这些“才艺”:

由于篇幅限制,此处省略其余“才艺”约一万字……

呼吸与危重症医学科
pccm

上海市同仁医院作为上海首批区域医疗中心,呼吸与危重症医学科(pccm)为全国示范单位。科室配备多款气管镜,设置专门气管镜室、全麻气管镜手术室。每年气管镜手术量最高达400例,开展常规气管镜、窄谱气管镜、荧光气管镜、支气管肺泡灌洗术、支气管镜下肺活检、冷冻治疗、异物摘取、氩等离子体凝固术等热消融,高压球囊扩张、气管支架等诊疗。与麻醉科共同协作下,还可开展mac+清醒镇静麻醉下气管镜诊疗,既减轻患者检查的痛苦,又及时为患者解除了病痛。
(部分图片源自网络,如有侵权请通知删除)
供稿:胡峰、陈甜甜;编辑:娄斯敏
上观号作者:上海市同仁医院