“
十年前,9岁江西女孩小琪(化名)因脑干占位而命悬一线,新华医院专家挑战手术“禁区”,为生命中枢“排雷”。
十年后,已是19岁少女的小琪恢复顺利,已经参加工作,绽放出美丽而顽强的生命之花。
”
2010年12月,刚上小学的小琪,没有什么明显原因,却突发头痛,吃饭后还会呕吐,左手和左脚也忽然失去力气。小琪的爸爸妈妈带着她四处求医。
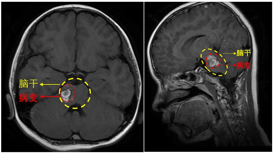
2011年1月12日至新华医院就诊后,通过头颅mri检查,小琪被确诊为罹患右侧桥脑海绵状血管瘤伴出血。
新华医院马杰主任领衔的儿神经外科专家团队,挑战手术“禁区”,帮助小琪重获了新生,并十年守护,随访至今。

图:马杰教授术中
脑干(如下图所示)是大脑的核心区域,同时又因其周围密布神经,既往常被称为手术的禁区,脑干为生命中枢部位,脑干出血病情严重,可以引起昏迷不醒甚至危及生命等,这个部位是人体最脆弱的地方,脑干病变致残致死率高,手术治疗极具有挑战性。

那么是什么原因导致了小琪罹患了致命疾病?原来是一种叫海绵状血管瘤的东西,长在了小琪的脑干右侧,即右侧桥脑部位。
脑桥,又称桥脑,是脑干的一部分。位于延髓和中脑之间,前、后缘有横沟分界。脑桥的腹侧面积脑桥基底,内有大量的横行纤维,连接小脑半球,也有一些纵行的神经纤维。自脑桥出入的脑神经有三叉神经、展神经、面神经和前庭蜗神经,控制着人体大部分的感觉和运动功能,尤其还包括与呼吸相关的调节中枢。

海绵状血管瘤是一种脑血管畸形,人群的脑血管畸形发生率为0.1%-4.0%,有4种基本的亚型:发育性静脉异常(dva)、毛细血管扩张、海绵状血管畸形(cm)、动静脉畸形(avm)。dva和毛细血管扩张通常为良性,而cm和avm更容易导致神经系统后遗症。

海绵状血管瘤可为散发性,也可以为家族性。在这类患者中,动态核磁共振检查才可能发现新发病灶。脑活检后和放射外科治疗后新发cm,证实病变具有进展特性。大脑是最常见的cm病变部位(70%-90%)整个幕上区都报道过cm,但最常发生于皮质下,易发于rolandic区和颞区。大多数大型病例系统研究显示,约25%的cm病灶位于颅后窝,其中大部分位于脑桥和小脑半球。脊髓cm为髓内病变,主要见于颈段和胸段。
幕下cm常表现为出血和进行性神经功能障碍。脑干病变表现为颅神经病和长束征,由于该区域有大量重要神经核团和纤维束,可出现进行性神经功能减退。因此,脑干病变的自然病程比其他部位病变更差。脑干病变的出血率为每年2%-3%,再次出血率可达17%-21%。39%的患者可见进行性神经功能减退。
因此,小琪的病情处理极为棘手,手术风险极大,术中稍有疏忽,便可带来灾难性的后果。为充分确保手术安全,马杰主任带领室团体成员为小琪进行了充足的术前准备和详细的讨论,与家属进行了充分沟通,制定了完善的手术计划。
2011年春节前夕,马杰主任和江峰医师、赵阳医师为小琪成功实施了手术。
1周后,小琪顺利出院,并回家欢度了一个难忘的春节。
术后5个月,门诊复查磁共振提示海绵状血管瘤已完整切除,小琪无任何不适主诉,也无任何后遗症,言语流利,对答切题,四肢肢体活动自如。小琪全家感恩新华医院马杰主任团队给予了第二次生命,给家庭带来了希望。

2010-2020,十年期许,花季少女小琪已回归社会。享受重生后的每一天,小琪这样说“我呼吸中的每一天都是全新的”。

马杰主任提醒,若出现癫痫发作,突然发生剧烈头痛、视力下降、眼皮下垂者或进行性神经功能障碍应尽快到医院检查,做头颅ct或核磁共振检查就能及时发现颅内病变。马杰主任告诉大家,我们团队长期开展术中电生理监测、术中ct、术中mri及神经导航引导下的复合性手术,给颅内病变的患儿提供精准、微创的手术治疗。
只问效果,无问西东
同一个手术
方式虽有不同
但选对医生会让效果更佳
新华儿神外守护儿童健康
从“头“做起
终生呵护陪伴
科普结束
科室介绍
上海新华医院小儿神经外科为国家临床重点专科和教育部“211工程”重点学科和上海市重点学科重要组成部分,隶属于上海市“重中之重”临床医学中心——小儿外科中心,博士学位授权点,是国内最先进的小儿神经外科诊疗中心之一,国内最早的小儿神经外科进修医师培训基地。世界神经外科联谊会(wfns)小儿神经外科分会常委单位,亚澳小儿神经外科学会(aaspn)常委单位,美国儿童肿瘤协作组(cog)成员单位,中华医学会神经外科分会小儿神经外科学组创始组长及组长单位,上海医学会小儿神经外科学组组长单位。

医疗特色:科室具备较强的医疗技术实力,作为全国小儿神经外科领军科室,成功开展小儿神经外科领域的所有技术项目。特别是在儿童颅脑肿瘤(脑干肿瘤、后颅窝脑肿瘤、鞍区肿瘤、松果体区肿瘤、脑室内肿瘤、大脑半球肿瘤等)的微创手术及个体化精准治疗、先天性神经外科疾病的显微治疗、儿童功能神经外科疾病的规范化治疗、儿童脑血管疾病的微创手术及介入治疗以及儿童严重颅脑脊髓损伤、颅内感染等领域形成了鲜明的医疗特色。
儿童神经系统各类肿瘤的微创手术及个体化精准治疗是科室的主要临床方向,年手术量1600余台,其中儿童脑肿瘤占1/3,十余年来共开展儿童脑肿瘤手术6000余例,疗效全国领先。术中通过神经导航系统、术中核磁共振、术中ct、电生理监测及术中超声等设备,精准、微创、安全地切除肿瘤组织,并通过新华医院儿童脑肿瘤多学科专家团队(小儿神经外科、放射科、儿童肿瘤血液科、放疗科、病理科、康复科和药剂科)共同制定综合治疗方案,治疗效果在国内遥遥领先。并与美国辛辛那提儿童医院合作开展儿童脑干胶质瘤临床研究(dipg registry),牵头国内60余家医疗单位成立了旨在规范开展临床研究,改善患儿预后的中国首个儿童脑肿瘤协作组(cnog)。
先天性神经外科疾病的诊治源远流长,经验丰富。科室自1953年创立之初,就开始脑积水、神经管闭合不全的外科干预治疗,发展至今,已经在脑积水国际队列研究中开展规范化评估治疗的脑积水综合诊治,包括外引流/脑室腹腔分流/脑室镜三脑室底造口术,最年幼患儿为胎儿宫内颅内出血出生后即刻外引流以避免脑积水的患儿。此外,蛛网膜囊肿的内镜治疗、显微镜治疗;神经管闭合不全的电生理监测下脊髓探查手术治疗;先天性颅面畸形的整形,尤其是颅缝早闭的小切口内镜辅助颅缝再造术在国内最早开展,并给予必要的患儿头颅整形头盔治疗;其他如小脑扁桃体下疝(chiari畸形)、寰枢椎脱位等颅颈交界疾病的治疗也具有丰富的临床诊治经验。
科室紧跟国际学术前沿,广泛开展功能神经外科治疗,取得了良好的疗效,获得国内外同行的一致好评。围绕难治性癫痫的外科治疗及神经调控治疗,术前应用视频脑电图、皮层脑电图、立体定向脑电图精准定位癫痫病灶,避免损伤大脑功能区,为最好的疗效保驾护航。此外科室在迷走神经电刺激术(vns)、脑深部电刺激术(dbs)治疗儿童难治性癫痫,骶神经电刺激术(sns)微创治疗儿童排便功能障碍等神经调控治疗,电生理监测下选择性脊神经后根离断术sdr治疗痉挛性脑瘫等领域均积累了丰富的临床经验,均获得了令人满意的临床疗效。立体定向导航下微创射频及脑深部电刺激(dbs)脑深部重要核团,治疗儿童抽动秽语综合症、精神分裂症、强迫症、情感障碍、抑郁症、焦虑症等疾病,明显提高了手术疗效,降低了手术并发症,积累了丰富的临床经验。
科室每年接受转诊的重型颅脑损伤和截瘫患儿百余例,疗效显著;近半数亚急性单纯硬膜外和硬脑膜下血肿.凹陷性骨折采取微创手术,术后恢复时间3-5天即可出院。年收治颅内感染50余例。局灶病变采用神经导航系统,精准定位,微创活检或摘除,伤口可短至2cm。弥漫感染采用微泵植入系统,间断鞘注+持续外引流,大大缩短抗感染疗程,降低继发性脑积水发生。科室率先应用内镜辅助切除面额部头皮肿块,真正实现微创美容。
作为国内领先的专注开展儿童脑血管病的临床科室,我科广泛开展各类脑血管疾病(如脑动静脉畸形,颅内动静脉瘘,galen静脉瘤,硬脑膜动静脉瘘,颅内动脉瘤,颅内静脉瘤,脑梗塞,出血性脑血管病等)的微创手术及介入治疗,尤其是在新生儿及低龄幼儿的脑血管造影诊断及治疗方面国内遥遥领先。科室率先开展了烟雾病的颅内外血管重建治疗,迄今已超过300余例,疗效稳定确切,为大量患儿带来福音与希望。科室创新开展高血供颅内外病变的栓塞治疗,有效改变了富血供病变切除术中常出现的大出血情况,减少了输血及输血相关风险,治疗效果在国际神经外科年会(ispn)上获国内外专家一致肯定。
医生介绍








上观号作者:上海新华医院